Many different types of appliances, both fixed and removable, are used to help move teeth, retrain muscles and affect the growth of the jaws. These appliances work by placing gentle pressure on the teeth and jaws. The severity of your problem will determine which orthodontic approach is likely to be the most effective.
Braces: To get a fantastic smile, both kids and adults may benefit for the utilization of braces. Braces are the most common fixed appliances; they consist of bands, wires and/or brackets. Bands are fixed around the teeth or tooth and used as anchors for the appliance, while brackets are most often bonded to the front of the tooth. Arch wires are passed through the brackets and attached to the bands. Tightening the arch wire puts tension on the teeth, gradually moving them to their proper position. Braces are usually adjusted monthly to bring about the desired results, which may be achieved within a few months to a few years. Today's braces are smaller, lighter and show far less metal than in the past. They come in bright colors for kids as well as clear styles preferred by many adults.
All ceramic braces: Ceramic braces are made of translucent (Clear) glass material so they blend in with your natural tooth color. They are also popular with adult patients, due to their cosmetic appeal. Ceramic braces utilize less noticeable brackets for patients concerned about aesthetic appearances. In addition, ceramic brackets are designed so that they won't stain or discolor over periods of time. The arch wires used in conjunction with the ceramic braces are unfortunately not translucent, but they do blend in well with the ceramic brackets and are not as noticeable.
Clear Sapphire Inspire! Brand BracesInspire brand brackets, manufactured by Ormco, are made of pure monocrystalline sapphire and are very translucent. They are very strong and do not stain. If your teeth are already very white, then Inspire braces will look best on you and seem to "disappear" on your teeth. If your teeth are less than white, they may tend to stand out (in this case, the Ceramic brackets would be a better choice). The pros and cons for Sapphire brackets are the same as those for Ceramic brackets.
These brackets offer many advantages
Radiance is smooth to the touch making them safe and comfortable for the patient

Patients concerned about their appearance in metal brackets can now take comfort that their braces are virtually invisible, giving them confidence in work and social situations
Not only do the brackets look great, they stay that way. Radiances's monocrystalline structure and highly polished surface serve as barriers to undesirable staining elements.
Bond strength with predictable debonding is essential in any bracket and Radiance is the first ceramic bracket to achieve true balance. With Radiance, brackets stay where you put them until you are ready to debond. Then the brackets remove easily without special instruments. The secret is in the bonding base. The Radiance bracket's patented Quad-MatteTM base allows for a strong bond in the center to hold the bracket in place, but a weaker bond on the outside to allow for easy debonding.

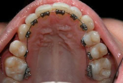
Lingual braces:lingual braces are attached to the back side of the teeth, which makes them completely non-visible.
These appliances are attached to the teeth by bands. They are used to encourage jaw growth, expand upper or lower arch, or crub a thumb or finger- sucking habits, Because they are very uncomfortable during meals, they should be used only as a last resort.
Removable appliances include:Aligners: an alternative to traditional braces for adults, serial aligners are being used by an increasing number of orthodontists to move teeth in the same way that fixed appliances work, only without metal wires and brackets. Sequential plastic aligners are a series of clear removable plastic aligners can be used to straighten your teeth without metal wires or brackets. As you replace each aligner with the next in the series, your teeth will move, little by little, week by week, until they have straightened to the final position your orthodontist has prescribed. Sequential plastic aligners can align teeth but, as yet, they cannot correct significant bite discrepancies.
One minute Tom Cruise a geeky teenager strutting around in his underwear with a crooked grin in Risky Business; the next he is destroying Martians with a winning smile in War of the Worlds. To improve his smile he underwent orthodontic treatment for two years in the early 2000s. Even for a star who is constantly under public scrutiny the actor famously and confidently showed off his braces at the Oscars in 2002 and many viewers didn't even notice.
However if you are not as confident as Tom, nowadays Invisalign™, a system of clear, plastic aligners can prove to be the perfect invisible option to straighten your teeth without having to wear braces and wires on your teeth.
Headgear:with this device, a strap is placed around the back of the head and attached to a metal wire in front, or face bow. Headgear slows the growth of the upper jaw, and holds the back teeth where they are while the front teeth are pulled back.
To retain means to keep in place; therefore, an orthodontic retainer is used to keep your teeth in their new positions after your braces come off. The retaining appliances are usually worn: Full-time for up to one year. Just at night for a further year. Phased out altogether over one more years. Most used types of retainers are:
A clear plastic retainer (also called an Essix Retainer) is sometimes placed on the upper teeth one or two days after the braces are removed. It resembles the Invisalign appliance. It is normally worn only at night and lasts an average of 24 months. After it wears out the orthodontist may replace it with a traditional wire retainer. Some people have commented that this type of retainer can be uncomfortable.
A bonded retainer is normally placed behind the lower teeth after the braces are removed. It is a wire "permanently" bonded to the teeth with composite material. Sometimes this type of retainer is used for the upper teeth, but usually this is not possible because it would interfere with your bite. A bonded retainer will remain in place for several years.
A wire retainer (also called a Hawley Retainer) is normally placed after discontinuing use of either the clear retainer or bonded retainer. This type of retainer has the added benefit of being adjustable so that minor tooth movement is possible. Sometimes a wire retainer can be worn full time instead of braces to correct mild crowding. As you can see, the plastic part of the retainer can be made in a variety of colors and patterns.
The short answer is: YES, absolutely!
The long answer is: It takes many months for your periodontal ligaments and bone to "remember" the new position of your teeth and keep them in place. The retainer helps keep them in their proper new positions. It's important to wear the retainer exactly as your dentist/orthodontist recommends. Otherwise, your teeth may shift, especially if you stop wearing your retainer in the first two years after your braces come off.
Our best advice is: Wear your retainer regularly for the rest of your life -- at least a couple of nights each week! This isn't as bad as it sounds. It just becomes part of your life -- another way to ensure that your smile stays beautiful and healthy!
You should clean your retainer each night as directed by your orthodontist. If you are wearing your retainer around the clock, rinse it with warm water after taking it out of your mouth, and also before putting it back in later! This will help prevent bacterial buildup. The most convenient way to keep your retainer clean is to use a product made for this purpose, or to use denture cleaner.
How do I look after my teeth using an orthodontic appliance?This may take up to three times longer than normal. Clean after every meal, trying to cover all sides of your teeth and the fixed appliance if worn. Clean systematically around each tooth, using a fluoride toothpaste and soft to medium brush.
Disclosing tablets can be helpful from showing you where plaque is building up, for example from hard-to-reach areas.
Toothbrushes using shortened central tufts are good for cleaning fixed appliances, while your hygienist or orthodontist may recommend specialist interspace brushes or an interdental bottlebrush to get the debris and plaque out from under the wires.
A fluoride rinse is often recommended. It gives daily protection and strengthens tooth enamel. Electric brushes may be used while the orthodontic appliance is from place. Remember, however, that no matter what specialist cleaning tools you have, application and thorough cleaning are the most important factors.
Cut up hard foods rather than crunching on them. Very hard foods, like certain sweets, may damage a delicate appliance. Sugary foods and drinks should be avoided as far as possible as, if sticky they will adhere to the appliance, encouraging decay and may even pull out the components. Carbonated drinks may also lead to erosion of the enamel covering the teeth. Try to snack on non-sugary foods and, if toothbrushing cannot be done during the day, rinse the mouth out well using water after meals to wash out any food lodged there.